Saya dapat pasien perempuan usia 84 th dengan HT emergency, vertigo, vomitus.pasien pusing berputar sejak tadi Maghrib, kliyengan untuk berdiri, lalu jatuh....
Pasien wanita usia 84 tahun dengan keluhan vertigo disertai hipertensi emergensi - Diskusi Dokter
general_alomedikaDiskusi Dokter
- Kembali ke komunitas
Pasien wanita usia 84 tahun dengan keluhan vertigo disertai hipertensi emergensi

Saya dapat pasien perempuan usia 84 th dengan HT emergency, vertigo, vomitus.
pasien pusing berputar sejak tadi Maghrib, kliyengan untuk berdiri, lalu jatuh. Keluhan pusing berputar bertambah berat, keluhan disertai mual (+), muntah (+) sering.
RPD: HT tidak terkontrol
Ku : cm, tampak lemas
TD 205/102
hr 79
rr 20
Temp 36.7
Spo2 95% room air - 98 % dengan NK 3lpm
K/L: ca -/-, si -/-, nistagmus -/-, pupil isokor, reflek pupil +/+
Thx : ves +/+, rh -/-, whz -/-
S1 S2 reguler
Abd : supel, bu(+)n ,nyeri tekan (-)
Eks : akral hangat, crt <2s, kekuatan otot 5/5, reflex fisiologis +/+, reflex patologis -/-
Terapi yang sudah diberikan
O2 NK 3lpm
Infus Nacl 20tpm
Amlodipin 10mg (TD evaluasi 185/90)
Injeksi dipenhidrinat 2cc
Injeksi ondansentron 1 amp
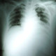
Ekspertise dr. sp. Rad: cardiomegali dan pulmo dalam batas normal.
Diapraghma dextra letak tinggi curiga ec proses infradiaphragmatica
Konsul dr.SpS: Tambah captopril 3x25 mg, bisoprolol 1x2.5 mg
Pertanyaan saya: bagaimana kombinasi obat antihipertensi yang cocok untuk pasien ini? Bagaimana manajemen pasien ini berdasarkan hasil ro thoraksnya?




Kalau hanya vertigo saja, berarti ini hanya hipertensi urgency, artinya tidak perlu agresif sekali penurunan tekanan darahnya, cukup dengan kombinasi obat2an anti hipertensi oral seperti yg sudah diterima pasien.
Tpi perlu dievaluasi apakah ada tanda2 stroke pada pasien ini, kalau ada maka tensi perlu diberikan obat antihipertensi intravena.
Selain itu, perlu dicek bagaimana gula darah, fungsi ginjal, dan elektrolitnya dok. Karena hal2 tsb akan mempengaruhi pemilihan obat anti hipertensi yg akan kita pakai.
Terima kasih

Terima kasih.

Karena saya pernah ketemu kasus spt ini , persis vertigo , mual muntahnya juga berkali-kali , HT krisis juga , dilakukan CT Scan Kepala sesuai instruksi dr.Sp.S , ternyata perdarahan cerebellum ..