Diagnosis Kista Dentigerous
Diagnosis kista dentigerous diawali dari keluhan utama, yaitu pembengkakan pada rahang tanpa nyeri dan gigi permanen yang tidak kunjung tumbuh. Pemeriksaan fisik ditemukan pembengkakan, perubahan warna kulit di sekitar rongga mulut, dan gangguan erupsi gigi permanen. Sementara itu, diagnosis pasti membutuhkan rontgen gigi.[17,18]
Deteksi dini kista dentigerous tidak dapat diabaikan, karena kista ini dapat mencapai ukuran yang signifikan tanpa menunjukkan gejala yang jelas. Pasien yang mengalami abnormalitas erupsi gigi perlu menjalani pemeriksaan lengkap untuk mengevaluasi kemungkinan adanya kista dentigerous.[17,18]
Anamnesis
Anamnesis yang perlu dilakukan oleh dokter gigi meliputi keluhan utama, di mana sebagian besar pasien mengeluh gangguan estetik akibat gigi bercelah di anterior. Selain itu, perlu ditanyakan juga gejala diastema, riwayat kesehatan dental, riwayat kesehatan umum, riwayat kesehatan keluarga, dan kebiasaan sehari-hari pasien.
Keluhan utama yang membawa pasien datang ke dokter gigi biasanya karena adanya pembengkakan pada area tertentu rahang, dengan gigi permanen yang tidak kunjung muncul. Sebagian besar kasus kista dentigerous tidak menyebabkan gejala nyeri, sehingga dokter gigi harus hati-hati dan teliti dalam menggali informasi seputar kista ini.
Beberapa penelitian melaporkan kista dentigerous multipel yang dikaitkan dengan interaksi obat siklosporin dan calcium channel blocker. Oleh karenanya, jika dokter gigi menemukan adanya kista dentigerous multipel maka perlu digali riwayat kelainan autoimun dan kelainan kardiovaskular, dan ditanyakan obat yang rutin dikonsumsi.[17,18]
Pemeriksaan Fisik
Pada pemeriksaan fisik, ciri kista dentigerous di antaranya pembengkakan, perubahan warna kulit di sekitar rongga mulut, dan gangguan erupsi gigi permanen.
Kista dentigerous umumnya soliter, di mana gigi yang paling sering terkena adalah molar ketiga rahang bawah, diikuti oleh gigi kaninus rahang atas. Namun, kista ini juga dapat terjadi pada gigi supernumerary atau gigi terpendam, yang tumbuh di luar letak seharusnya gigi tersebut erupsi.
Gigi yang terkena dampak kista dentigerous ini dapat mengalami pergeseran ke posisi ektopik, terutama pada area maksila di mana gigi tersebut dapat masuk ke dalam sinus maksilaris. Pada kondisi ini, pasien akan mengalami gejala sinusitis, seperti sakit kepala, nyeri wajah, keluarnya pus dari hidung, hingga obstruksi nasolakrimal.
Meskipun kista dentigerous umumnya bersifat soliter, tetapi pada kondisi sindrom tertentu, seperti Maroteaux-Lamy, displasia cleidocranial, dan sindrom Gardner, kista ini dapat terjadi secara multipel dan bilateral. Selain itu, obat siklosporin dan calcium channel blocker yang dikonsumsi secara bersamaan juga meningkatkan kemungkinan untuk terjadinya kista dentigerous secara multipel.
Kista dentigerous merupakan lesi jinak yang tidak mengancam nyawa. Namun, kista ini dapat memiliki potensi menjadi lesi yang bersifat agresi, jika tidak dilakukan perawatan dengan benar atau terjadi iritasi kronis. Manifestasi klinis yang mungkin terjadi akibat pembesaran kista dentigerous meliputi perluasan tulang alveolar, pergeseran posisi gigi, resorpsi akar gigi yang parah, perluasan korteks bukal dan lingual, serta terjadinya rasa sakit.
Dokter gigi perlu memahami manifestasi klinis ini untuk menegakkan diagnosis apakah kista dentigerous masih merupakan lesi tahap awal atau sudah berubah menjadi agresif.[17,18]
Diagnosis Banding
Berikut adalah kemungkinan diagnosis diferensial untuk kista dentigerous yang melibatkan beberapa kondisi odontogenik dan non-odontogenik.
Folikel Gigi yang Membesar
Folikel gigi yang membesar (variasi normal) akan memiliki penampakan radiologis yang mirip dengan kista dentigerous berukuran kecil. Membedakan kedua jenis kondisi ini dapat sangat menantang. Secara umum, radiolusensi perikoronal >3‒4 mm dianggap pembentukan kista, sedangkan radiolusensi perikoronal <3 mm dianggap sebagai folikel gigi yang mengalami pembesaran.[17,18]
Kista Radikuler
Kista odontogenik yang berasal dari granuloma periapikal pada gigi nekrosis yang tidak segera dilakukan perawatan. Kondisi ini terkait dengan akibat dari karies yang berkembang menjadi pulpitis, nekrosis, kemudian berkembang lagi menjadi granuloma dan kista. Kista radikuler merupakan kista odontogenik tertinggi, di atas kista dentigerous.[17,18]
Odontogenic Keratocyst (OKC)
Kista keratogenik odontogenik (odontogenic keratocyst atau OKC) merupakan sebuah kista yang biasanya ditemukan di ramus mandibula. Berbeda dengan kista dentigerous, pada pengamatan histologis, OKC cenderung kurang menyebabkan ekspansi tulang yang signifikan, dan resorpsi gigi juga cenderung tidak akan terjadi. Selain itu, OKC lebih cenderung memiliki tepi yang berlekuk-lekuk, sementara kista dentigerous cenderung lurus.[17,18]
Sementoma
Sementoma merupakan salah satu jenis tumor odontogenik yang terbentuk dari sementum. Sementoma biasanya muncul sebagai massa bening berbentuk bola yang melekat pada akar gigi. Kondisi ini paling sering ditemukan di mandibula pada daerah gigi molar, dan terjadi antara usia 8‒30 tahun tanpa predileksi jenis kelamin.[17,18]
Odontoma
Odontoma merupakan tumor jinak yang terkait dengan perkembangan gigi. Secara khusus, odontoma merupakan hamartoma dental, yang berarti terdiri dari jaringan gigi normal yang tumbuh secara tidak teratur. Odontoma mencakup jaringan keras dan lunak odontogenik (pulpa).[17,18]
Ameloblastoma
Ameloblastoma yang memiliki tanda mirip dengan kista dentigerous, khususnya ameloblastoma unisistik. Tumor odontogenik yang jinak ini sering ditemui, muncul sebagai area radiolusen dan dapat bersifat unilokular atau multilokular. Dapat menyebabkan ekspansi dan destruksi maksila atau mandibula.
Secara klinis dan radiografis, sulit untuk membedakan antara ameloblastoma unisistik dan kista dentigerous. Namun, secara histopatologis, ameloblastoma unisistik memiliki karakteristik, yaitu sel basiler dalam ameloblastoma unisistik akan menjadi silindris dan menunjukkan hiperkromatisme nukleus yang menonjol. Akan terjadi polaritas nukleus yang menjauh dari membran basal (polarisasi terbalik).[17,18]
Adenomatoid Odontogenic Tumor
Tumor odontogenik adenomatoid, atau yang juga dikenal sebagai adenomatoid odontogenic tumor, menunjukkan tanda-tanda yang mirip dengan kista dentigerous, namun dapat dibedakan dengan adanya struktur radiopak intrakista.
Pada pasien yang lebih muda, radiolusensi periapikal yang terkait dengan gigi desidui dapat menyerupai radiolusensi perikoronal gigi permanen, yang mungkin dapat mengakibatkan kesan palsu sebagai kista dentigerous. Dengan demikian, diagnosis definitif dari kasus ini harus dikonfirmasi melalui pemeriksaan histopatologis.[17,18]
Odontogenic Fibromyxoma
Odontogenic fibromyxoma adalah tumor jinak yang terkait dengan perkembangan gigi. Tumor ini berasal dari jaringan mesenkim embrio yang terkait dengan pembentukan gigi. Berbeda dengan tumor lain, pada histologi, odontogenic fibromyxoma terdiri terutama dari sel-sel berbentuk spindle dan serat kolagen yang tersebar dalam matriks mukoid yang longgar.[17,18]
Pemeriksaan Penunjang
Penggunaan radiografi panoramik dapat dianggap sebagai pilihan yang sesuai untuk penegakan kasus kista dentigerous. Namun, CT scan dapat dipertimbangkan pada kasus lesi yang lebih luas, untuk mendapatkan gambaran yang lebih rinci dan detail, dengan lapang pandang yang lebih luas. Selain itu, kadang MRI dapat dipertimbangkan untuk mempertajam definisi dari lesi.
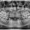
Rontgen Gigi dan Rahang
Pada pemeriksaan radiografis, kista dentigerous akan muncul sebagai area radiolusen unilokular, terkait hanya dengan mahkota gigi yang belum erupsi, dan berada pada area cemento-enamel junction (CEJ). Umumnya, batas radiolusen terdefinisi dengan jelas dan terkalsifikasi.
Hubungan kista dengan mahkota gigi menghasilkan variasi radiografis, termasuk variasi sentral, lateral, dan circumferential. Beberapa kista dentigerous dapat menyebabkan pergeseran gigi yang terlibat, bahkan mungkin ke batas bawah korpus atau ke dalam ramus mandibula.[17,18]
CT Scan Gigi dan Rahang
Kista besar dapat menyebabkan resorpsi gigi yang belum erupsi, sehingga diperlukan CT scan. Pencitraan ini berperan penting dalam evaluasi lesi kistik, membantu mengesampingkan lesi padat dan fibro-osseous, menampilkan detail tulang, dan memberikan informasi yang tepat tentang ukuran, asal, isi, dan hubungan lesi.
Pada CT, kista dentigerous tampak sebagai area osteolisis unilokular yang terkalsifikasi baik dan mencakup mahkota gigi. Dislokasi gigi tetangga dan erosi sebagian dapat terlihat. Kista dentigerous di maksila sering berkembang ke sinus, menyebabkan pergeseran dan remodelasi dinding sinus.[17,18]
MRI Gigi dan Rahang
Pada MRI, isi kista menunjukkan intensitas sinyal rendah hingga menengah pada gambar T1-weighted dan intensitas sinyal tinggi pada gambar T2-weighted. Lapisan kista tipis dengan ketebalan yang teratur mungkin menunjukkan penguatan ringan setelah injeksi kontras.[17,18]
Analisis Patologis
Selain pemeriksaan radiografi yang wajib untuk dilakukan, analisis patologis dari lesi tersebut yang didapat dengan melakukan biopsi harus dijalankan untuk mendapatkan diagnosis definitif. Radiografi akan memberikan gambaran awal, sementara analisis patologis memungkinkan identifikasi sifat jaringan kistik tersebut dan memastikan apakah kista tersebut bersifat ganas atau tidak.
Dengan demikian, kombinasi antara metode radiografi dan analisis patologis menjadi pendekatan yang paling efektif untuk penanganan kista dentigerous secara menyeluruh.[17,18]
 
  Masuk dengan Email
 Masuk dengan Email 
  
  
  
  
  
  
  
  
  
  
  
  
  
 